尋常型牛皮癬的癥狀有哪些
尋常型牛皮癬的癥狀有哪些?我們的身邊有更多的人都受到了牛皮癬的影響,知道是有多種的原因導致人們患上該病的,而且它是會影響患者形象的一種疾病,給患者的身體和心理健康帶來了很大的危害,所以很多人開始重視牛皮癬這種疾病, 那你知道尋常型牛皮癬的癥狀是什么嗎?為了更好地診斷和治療牛皮癬,我們一起看看天津西站醫院權威專家對尋常型牛皮癬的癥狀的介紹,希望可以減少對患者的危害。
什么是尋常型牛皮癬?尋常型牛皮癬的癥狀是什么?天津西站醫院專家杜教授說,牛皮癬病程特點為慢性、反復發病。約80%患者病情出現復發。可每年復發一次,亦可間隔數年或數十年再復發。復發與季節關系密切。多數在秋冬季加重或復發,夏季緩解或消退,嚴重時無季節性。情緒不安、精神創傷、寒冷、潮濕、飲酒或過度勞累等常可促使復發或病情加劇。推薦閱讀:怎么預防牛皮癬復發
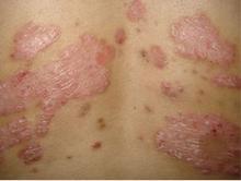
尋常型牛皮癬的癥狀有哪些?杜教授介紹了以下五大點:
1、尋常型牛皮癬的面部皮損:尋常型牛皮癬面部皮損大多呈點滴狀或指甲大小的紅色丘疹。
2、尋常型牛皮癬的小腿部皮損:尋常型牛皮癬的癥狀有哪些,皮損易浸潤肥厚,伴苔癬樣變,頗似慢性濕疹。
3、尋常型牛皮癬手心和腳心部皮損:尋常型牛皮癬皮損出現明顯的角化斑片,中央厚、邊緣薄,也可能伴有白色鱗屑或點狀凹陷,有時因皮損較厚會形成條狀皮膚裂隙。
4、尋常型牛皮癬的屈側皮損:尋常型牛皮癬皮損分布以屈側為主的病患約占總患病人數的2。8%~6%。皮損主要累及腹股溝、腋窩等其他屈曲部位,一般鱗屑較少、表面光滑、邊界清楚。
5、尋常型牛皮癬頭部皮損:尋常型牛皮癬的癥狀有哪些,這種情況常在尋常型牛皮癬早期出現,常生于發際,有時候也會融合成片,布滿頭皮
不同的牛皮癬癥狀,往往需要不同的牛皮癬治療方法。尋常型牛皮癬的癥狀根據皮損的形態,可分為點滴狀、錢幣狀、斑塊狀、地圖狀、環狀、蠣殼狀等。同是尋常型銀病,不同的患者,他們的皮損形態可以有所不同,就是同一個患者,皮損的形態在病程中也常會表現不同。原發疹為針帽頭至扁豆大小的炎性丘疹或斑丘疹,呈特有的淡紅色,境界明顯,表面被覆多層銀白色鱗屑,周圍有輕度紅暈。推薦閱讀:牛皮癬治療什么方法最有效
上述內容為我們介紹了尋常型牛皮癬的癥狀。發現其實它的出現是會有很多的表現的,而且對人們的影響也是很大的,提醒大家的是牛皮癬患者中絕大多數的牛皮癬都是屬于尋常型牛皮癬,因此希望牛皮癬患者能夠注意。
- 蔡女士 牛皮癬 天津和平區
- 艾女士 脫發 天津河東區
- 宋女士 蕁麻疹 天津河西區
- 劉女士 痤瘡 天津津南區
- 姚女士 腳氣病 天津南開區
- 白女士 毛囊炎 天津西青區
- 佟先生 黃褐斑 天津南開區
- 單先生 雀斑 天津南開區
- 王先生 皮炎 天津河西區
告別牛皮癬享受精彩夏日生活...我叫李靜,是一名教師,2010年因... ...[詳細]
告別白癜風恢復青春活力...19歲的小靜在去年,經過高考前的... ...[詳細]
告別牛皮癬邁向幸福的人生...今年26歲,天津天津人,患 牛皮癬... ...[詳細]
天津西站皮膚病醫學診療中心地址:天津市人民路滄浪亭街4號
咨詢熱線:
930806462天津西站皮膚病醫學診療中心 http://www.678ic.com.cn















